Coronas de Porcelana

Dentista en Panorama City 9 Coronas de Porcelana

LLAME HOY PARA CONSULTAR (818) 810-9060

¿Tiene dientes rotos o debilitados por el desgaste o la caries? Si ese es el caso, entonces las coronas dentales pueden ser la solución que ha estado buscando para restaurar su sonrisa brillante y reluciente. Como profesionales de la odontología, nuestro objetivo número uno es crear una sonrisa sana y fuerte para todos nuestros pacientes que dure el mayor tiempo posible.

Las coronas dentales son una opción popular para los pacientes que esperan restaurar tanto la apariencia como la función de un diente. En comparación con los empastes, que sólo cubren una pequeña parte del diente, una corona (o tapa) cubre toda la parte visible de un diente. En efecto, la corona actúa como la nueva superficie exterior del diente. Una corona dental se utiliza cuando un diente está roto o cariado hasta tal punto que los empastes no pueden reparar el problema.

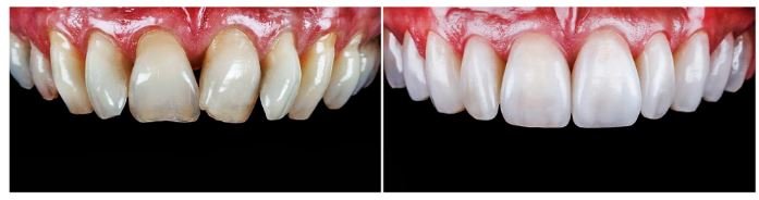
La corona es capaz de proporcionar una cáscara protectora alrededor del diente dañado o cariado para fortalecerlo, así como para mejorar la apariencia del diente. También pueden restaurar un diente a su forma original y se utilizan comúnmente para los dientes que se han roto. Aunque las coronas están hechas de diferentes materiales, las más comunes suelen tener una mezcla de porcelana para darles un aspecto similar al de un diente natural.

Las coronas se elaboran meticulosamente para que coincidan con el color y la forma de sus dientes naturales. Cuando se colocan, son básicamente indistinguibles de los dientes circundantes. Hay varios tipos de coronas dentales disponibles, y podemos ayudarle a seleccionar cuál puede ser el más adecuado para sus objetivos y necesidades.

Coronas

¿Necesito Coronas Dentales?

Las coronas dentales pueden utilizarse para tratar problemas dentales como:
  • Dientes deformados
  • Dientes rotos
  • Dientes dañados
  • Fracturas por estrés o grietas
  • Dientes debilitados por empastes de mercurio
  • Dientes debilitados o frágiles por una endodoncia
  • Para cubrir un implante dental o fijar un puente

¿Cómo se colocan las coronas dentales?

La primera visita a su dentista consiste en remodelar el diente y tomar impresiones para crear la corona. Por lo general, habrá que extraer una parte del diente para que la corona encaje correctamente. Una vez que el dentista haya reformado el diente, utilizará un material especial para crear una impresión del mismo. Esta impresión se enviará a un laboratorio dental para hacer una corona permanente. Antes de enviarle a casa, el dentista le proporcionará una corona temporal para cubrir su diente entre las visitas.

Cuando vuelva, su dentista habrá recibido la corona permanente del laboratorio. Le quitará la corona provisional y le colocará la nueva permanente. Antes de cementar la corona permanente en su lugar, se asegurarán de que se ajuste cómodamente y que coincida con el color de sus dientes.

Programe una cita con Parthenia Family Dental si necesita una corona dental o tiene cualquier otra preocupación de salud oral.

Lo que dicen nuestros pacientes

Testimonios de nuestros pacientes

Google Reviews

"Desde el momento en que entré en esta oficina dental, me sentí como si fuera de la familia. ¡Todo el mundo es tan amable! Mientras se trabaja en, que constantemente preguntan si usted está bien."

-CINDY K.

"TUVE UNA EXPERIENCIA INCREÍBLE. ¡El Dr. fue MARAVILLOSO! Llegué a la oficina nerviosa y con mucho miedo, pero él y el personal me explicaron todo en detalle y calmaron mis temores."

-MARTHA L.

"El Dr. Pirian es el dentista más cariñoso y gentil que he conocido, me sentí segura en sus manos debido a su genuina preocupación por mi bienestar. Él y su maravilloso personal siempre me han hecho sentir especial."

-BRANDY Y.

Reserve su cita

Si está buscando un dentista en Los Ángeles, llame hoy mismo a la oficina de Parthenia Family Dental. Ofrecemos consultas a todos los pacientes nuevos. ¡Haga una cita con nosotros hoy!

Skip to content